Smile Away Your Problems & Wear a beautiful Smile

TA - 1, Okhla Estate Road, Tughlakabad Extension, New Delhi - 110019

011 - 40529029 , +91 - 8178881784

Call / WhatsAPP

Don't delay to consult
the best doctors

Orthodontics

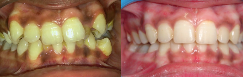
Orthodontics or Dentofcial orthopaedics not only includes correction of malaligned teeth but also changes your facial structure to a more pleasing and esthetic state. It corrects minor jaw discrepancies along side correction of teeth, So it is advisable that this treatment is obtained in growing age. It is an art of placing braces and wires and sometimes appliances to correct the differently positioned teeth in a jaw.

FIXED ORTHODONTIC TREATMENT

For correction of misaligned teeth orthodontic reatment is best advised. Usually starts after the age of 12 Years that is after the eruption of permanent teeth.

Metal Orthodontics

It is conventional fixed orthodontic treatment with braces and wires. The brackets and wires used in this technique are made of Stainless Steel. Over this assembely, coloured elastics are put to facilitate the teeth movement. Some pre operative work up and scans will be done and your treatment plan will be discussed by your doctor.

Card image
Card image
Ceramic Orthodontics

Instead of metal brackets , the ceramic brackets are used which camouflage with tooth colour and wire can also be optiflex which is a clear wire. Giving the whole treatment a more aesthetic outcome.

Card image
Invisalign

If the patient wants esthetically and functionally a better correction of their teeth alignment, they can always opt for treatment. These are most advanced solution to tooth malalignment without braces and wires. Not everyone is a candidate for Invisalign treatment.

Card image
Card image