Smile Away Your Problems & Wear a beautiful Smile

TA - 1, Okhla Estate Road, Tughlakabad Extension, New Delhi - 110019

011 - 40529029 , +91 - 8178881784

Call / WhatsAPP

Don't delay to consult
the best doctors

Oral & Maxillofacial Surgery

Cleft Lip & Palate

It is a congenital defect where the facial structures like lip, palate, do not fuse completely to form face and present a communication between the oral and nasal cavitites. Esthetically and functionally challenging for the individual.

Card image
Card image

Surgical intervention is the best treatment choice which is a staged procedure. Surgery to repair a cleft lip is advisable within first 12 months And that of palate usually occurs within first 18 months for the best results.

Children born with orofacial clefts might also need other services and treatments like orthodontics and speech therapy. But the good news is, these procedures are very predictable and with good results. Child leads a healthy life.

Head Neck & Oral Cancer

Oral cancer is a debilitating disease affecting lives of thousands of people in India and abroad. According to literature oral cancer accounts for 30% of all types of cancer. It is the cancer of lips, mouth, cheeks, tongue and upper throat (oropharynx) andis often associated with lymph nodes of neck.

It commonly looks like an ulcer or growth which is reddish white in nature. It may be painfull or painless lesion depending on the severity and type of lesion. Oral cancer is often associated with extensive use of tobacco in chewable & smoking form, alcohol, sun exposure to lower lip, HPV infections may also be a cause. Treatment is surgical removal of tumor and associated lymph nodes. Adjuvant therapies like chemotherapy and radiotherapy are also considered.
To know more meet our oral and maxillofacial Surgeon

Card image
Card image
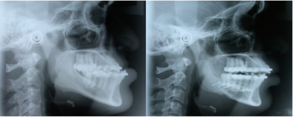
Corrective Jaw Surgery / Orthognathic Surgery

Corrective jaw surgery is aimed at correcting the dentofacial disharmonies through combination of surgery of upper and lower jaws and orthodontics.

Basic goals of this surgery are to provide normal mastication, Speech, Oral function and respiratory function, facial harmony and balance.

After growth completion this surgery can be accomplished at any time presurgical and postsurgical orthodontics are part of complete treatment. Surgery is performed under general anaethesia with all the preoperative evaluations and pictures.

Recovery period is usually smooth and safe, although there can be some complications as is with any other surgery, but can be taken care off. Procedure is safe and very effective results.

Card image
Card image
Facial Trauma

Human skull has 22 bones ; cranium 14 bones and trauma to the face due to road traffic accidents, assaults, contact sports are an emergency situations.

Facial injuries are not only esthetically displeasing but can a pose a serious life threatening situation.

Careful and planned treatment of these injuries has high success rates. Fractures of facila bones cause discomfort in chewing, swallowing and breathing. Since these bones are directly related to cranium, sometimes they cause direct or indirect injury to brain as well.

Surgical and non surgical intervention are necessary by experienced maxillofacial surgeon.

For such situations consult us for more information.

Card image
Card image
Oro - dental Surgery

This section includes Surgical procedures required to correct and teat minor oral diseases like abnormal growths and also removable of unpacked teeth from undesirable positions

Extraction of teeth, Alueoloplasty, Frenectomies, mucosal lesions bioply dental implants and other procedures.

Card image
Card image
TMJ and Facial Pain

Pain in jaw joint also known as temporo mandibular joint (TMJ) is a common problem encountered by many people but lack of information prevemts proper treatment delivery. Any pain/noise front of ear or while opening & closing mouth could be TMJ related issues Consult immediately. Facial pains are all related to different types of neuralgias.
For better understanding and proper treatment modalities must consult oral and maxillofacial Surgeon.

Card image
Tumors and Cysts of Jaw and Face

Other than cancer, there are malignant and benign lesions that develop in oral and dental tissues. These could be associated to teeth or may be not.

These conditions are morphologically and functionally disturbing. Treatment of these conditions are Surgical and can be taken careoff if recognised early.
Consult oral and maxillofacial surgeon

Card image
Card image