Smile Away Your Problems & Wear a beautiful Smile

TA - 1, Okhla Estate Road, Tughlakabad Extension, New Delhi - 110019

011 - 40529029 , +91 - 8178881784

Call / WhatsAPP

Don't delay to consult
the best doctors

Dental Implantology

Dental Implants are modern day tooth replacement option. Missing single tooth to completely edentulous jaw ( without teeth ) can be restored with fixed artificial teeth with help of DENTAL IMPLANTS. It is a very Safe and predictable treatment option for missing tooth.
For more information consult our experts.

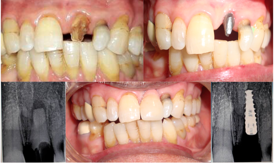
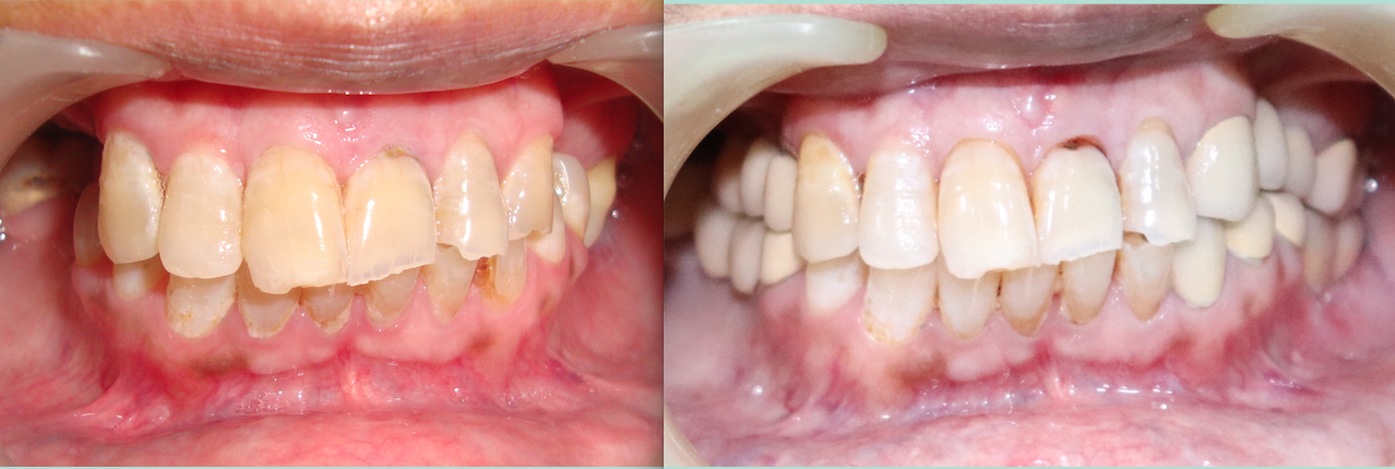
Single Tooth Replacement
Card image
Card image
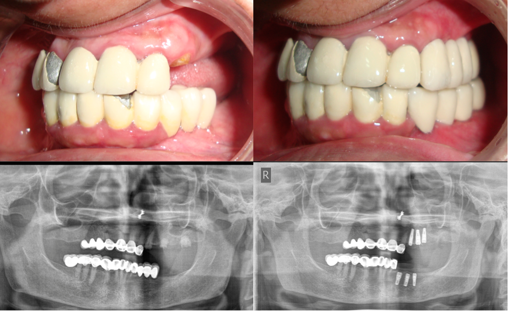
Multiple Teeth Replacement
Card image
Card image
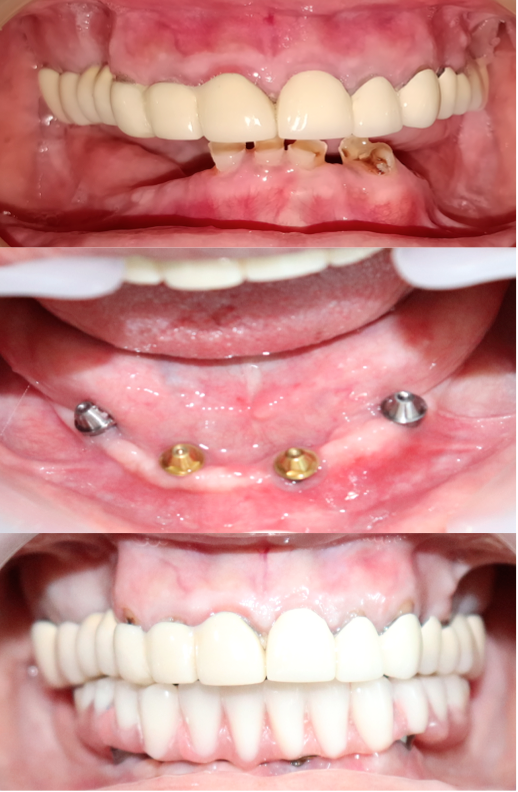
Full Mouth Rehabilitation
Card image
Card image
Card image
Card image
Card image